Невероятно, но все люди, просвеченные
рентгеном на этих кадрах, выжили и полностью
восстановились.
1. Кулон со Спанчбобом, случайно проглоченный неудачливым жителем
Саудовской Аравии.

2. 30-летняя больная булимией жительница г. Атланта случайно
проглотила столовый нож, демонстрируя своим друзьям отсутствие у
себя рвотного рефлекса.

3. 16-летний парень получил удар ножом в голову, защищая от
грабителей своего товарища на улицах Лондона. Он не только выжил,
но и восстановился, и даже закончил колледж, спустя 10 месяцев
после этого эпизода.

4. 32-летний рабочий из Чикаго случайно выстрелил себе в голову
гвоздем из гвоздезабивного пистолета. Гвоздь извлекли, а больной
выжил и восстановился.

5. Во время автомобильной аварии в голову Эндрю Линна вошла труба.
Он выжил.

6. 4-летняя немка Маргарет Вегнер упала на карандаш, который
вонзился в ее голову. Он
оставался там еще 55 лет, пока его не удалили нейрохирурги
в ходе 2-часовой операции. однако 2-сантиметровый кусок карандаша
остался, так как извлекать его было слишком опасно.

7. Молодой человек из Нью-Мексико хотел сделать своей девушке
предложение, положив обручальное кольцо в ее молочный коктейль.
Девушка проглотила кольцо. Только получив этот снимок в больнице
чуть позже она удостоверилась, что это действительно было
обручальное кольцо.

8. 86-летний житель Аризоны Leroy Luetscher, подстригая деревья,
упал с лестницы в саду. Садовые ножницы вонзились в его глазницу.
После операции он полностью восстановился.

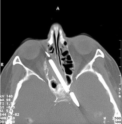
9. 27-летний житель Китая ковырялся в зубах ножничками, когда ему
пришлось засмеяться над шуткой друга. После чего ножницы застряли в
его горле.

10. Эта вилка была извлечена из желудка жительницы Израиля после
того, как та проглотила столовый прибор, пытаясь выковырять
залетевшее в ее рот насекомое.

11. В 2003 году нью-йоркский пожарный Matt Long попал в аварию. На
рентгене показаны детали авто внутри его тела в тазовой области.
Врачи предполагали после операции, что Мэтт не сможет полноценно
ходить, но он полностью восстановился, а в 2008 пробежал
марафон.

12. В ходе потасовки в баре г. Чихуахуа в Мексике этому
счастливчику вонзили в голову ножницы. Он также полностью
восстановился.
